
¿Qué son las fracturas dentales?
Las fracturas dentales son traumatismos que generan grietas o rupturas en el órgano dentario. Estas lesiones pueden ir desde diminutas hendiduras en la capa externa (esmalte) hasta daños mas severos que impactan la capa media (dentina) o el tejido interno (el nervio e incluso la raíz) del diente. Normalmente vienen acompañadas de daños en los tejidos suaves, como inflamación, hematomas y cortes. Dependiendo de la fuerza del golpe, el diente puede fracturarse, moverse de su lugar parcial o totalmente, o incluso ser extraído. Por otra parte, los accidentes dentales son mas habituales en la dentición permanente que en la dentición temporal. Esto se debe a que los dientes permanentes permanecen por más tiempo en la boca que los dientes de leche. Lo cual aumenta el riesgo de sufrir fracturas, debido a múltiples factores relacionados con las actividades diarias. Cabe resaltar, que los dientes frontales del maxilar superior son los más afectados por su ubicación en la boca.

¿Cuáles son los tipos de fracturas dentales?
Las fracturas dentales se clasifican dependiendo del grado de afectacion en el diente. Esta clasificación es crucial para elegir el tratamiento, evaluar el pronóstico y evitar complicaciones.
- Hendidura o grieta del esmalte: Son finas líneas en la capa externa del diente, por lo general no causan dolor.
- Ruptura de cúspide: Una sección de la parte superior del diente (corona) se quiebra, es común en las muelas.
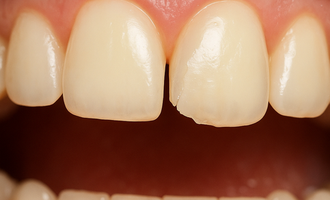
- Ruptura coronal sin exposición pulpar: Abarca la capa externa (esmalte) y la capa media (dentina), sin afectar el nervio del diente (la pulpa).
- Ruptura coronal con exposición pulpar: Involucra la capa externa (esmalte), la capa media (dentina), y expone al nervio (pulpa), pudiendo ocasionar un dolor severo.
- Ruptura radicular: Impacta la raíz del diente y normalmente no se ve desde afuera.
- Diente completamente roto: El diente se separa en dos o más secciones, generalmente es una situación grave.
¿Cuáles son los síntomas de las fracturas dentales?
- Hipersensibilidad dentinaria.
- Observar una grieta o ruptura en el diente.
- Molestias al comer o al ingerir alimentos fríos o calientes.
- Encías que presentan hinchazón o sangrado cuando la fractura alcanza la parte de la raíz.

¿Cuáles son las causas de las fracturas dentales?
Las causas principales de las fracturas dentales son las siguientes:
- Masticar alimentos u objetos duros: La mayoría de las personas no notan la fuerza que ejercen en los dientes al masticar alimentos u objetos duros. Por ejemplo; el hielo, los dulces sólidos, las nueces y hasta las palomitas de maíz sin estallar pueden provocar fracturas dentales. Con el pasar del tiempo, la presión constante debilita la capa externa de los dientes (esmalte), haciéndolos más vulnerables a romperse.
- Lesiones y accidentes: Las caídas, colisiones de vehículos o traumas deportivos son factores significativos en las fracturas dentales. Por ejemplo; un golpe brusco en la cara o en la mandíbula puede ocasionar que los dientes se quiebren o fracturen. Por esta razón, los deportistas deben utilizar siempre protectores bucales cuando participan en deportes de contacto o en actividades con riesgos de caídas y golpes.
- Rechinar los dientes: El hábito de rechinar o apretar los dientes durante la noche, conocido como bruxismo, puede desgastar él esmalte paulatinamente y causar fracturas dentales. La mayoría de las personas no se percatan de que tienen esta costumbre hasta que comienzan a sentir molestias, sensibilidad o una ruptura.
- Tratamientos dentales extensos o empastes: Los dientes que poseen empastes extensos o que han recibido tratamientos dentales complejos como el tratamiento de conducto tienden a ser más frágiles que los dientes sanos. Si se retira un exceso de la estructura dental original, pueden carecer de la fuerza necesaria para resistir el estrés diario de morder y masticar, lo que mas tarde puede resultar en fracturas.
- Efectos del envejecimiento: Mientras avanzamos en edad, los dientes soportan muchos años de masticación, mordeduras y rechinamiento. El envejecimiento natural los hace más susceptibles a la fragilidad, aumentando el riesgo de fracturas. Los ancianos tienen más probabilidades de sufrir grietas o rupturas en los dientes, especialmente si tienen un historial de rechinamiento o el hábito de morder alimentos u objetos duros.
- Cambios bruscos de temperatura: Las variaciones extremas de temperatura en la cavidad oral pueden generar presión en los dientes. Por ejemplo; consumir alimentos muy calientes y luego tomar agua fría puede ocasionar pequeñas fisuras en el esmalte. Con el paso del tiempo, estas fisuras pueden ampliarse y dar lugar a fracturas más grandes.
- Desgaste del esmalte por caries: Las caries afectan negativamente el esmalte y la capa interna del diente, provocando que el diente se agriete o rompa. Las caries avanzadas sin tratamiento elevan el riesgo de una fractura grave, que a menudo puede resultar en la pérdida del diente.
¿Cuáles son los tratamientos para las fracturas dentales?
Los tratamientos para fracturas dentales dependen del tipo, la gravedad y la ubicación de la fractura. A continuación te explico las opciones más comunes:
- Pequeñas hendiduras o grietas en la capa externa del diente (esmalte): Normalmente, no requieren tratamiento si no hay molestias. Las opciones son la limpieza dental o selladores para evitar que empeoren.
- Ruptura de la cúspide o parte de la corona dañada: Si no hay lesión significativa, el diente puede repararse con un empaste o una reconstrucción de composite o de resina. Si el daño es mayor, es recomendable colocar una corona dental para proteger el diente.
- Ruptura coronaria sin daño al nervio: Empastes o colocación de corona, dependiendo del tamaño de la fractura. En ocasiones, se lleva a cabo un rebase o una restauración del diente.
- Ruptura coronaria con daño al nervio: Puede necesitar un tratamiento de canal para extraer el nervio afectado. Después, se coloca una corona o se realiza una reconstrucción completa.
- Ruptura de la raíz: Normalmente es un caso más complejo. En ciertos casos, se hace un tratamiento de canal y se refuerza el diente. Si la lesión es demasiado grave, es necesario remover el diente.
- Diente completamente fracturado: Si el diente no puede ser salvado, se realiza la extracción. Posteriormente, se sustituye con un implante, puente o prótesis.
Otros tratamientos complementarios:
- Medicación: Medicamentos para el dolor y antimicrobianos en caso de molestias o infecciones.
- Protección nocturna: Dispositivos para prevenir el rechinamiento dental, si es la causa del problema.

¿Cómo evitar las fracturas dentales?
Aunque algunas fracturas ocurren accidentalmente, muchas pueden prevenirse con el cuidado y las precauciones adecuadas. Aquí tienes algunos consejos para proteger tus dientes:
1. Evite morder objetos duros: Evite masticar hielo, caramelos duros, bolígrafos o granos de palomitas de maíz. Si come frutos secos, considere cortarlos en trozos más pequeños.
2. Use un protector bucal: Si practica deportes de contacto o rechina los dientes por la noche, un protector bucal personalizado puede proteger sus dientes de fracturas y desgaste excesivo.
3. Trate el bruxismo: Si sospecha que rechina los dientes, consulte con su dentista. Una férula nocturna o técnicas de relajación pueden ayudar a reducir la presión sobre los dientes y prevenir fracturas.
4. Mantenga una buena higiene bucal: Cepillarse los dientes y usar hilo dental a diario fortalece el esmalte y previene las caries. Visitar al dentista con regularidad permite detectar a tiempo dientes debilitados con riesgo de fracturas.
5. Tenga cuidado con los cambios de temperatura: Evite consumir alimentos muy calientes y fríos al mismo tiempo. Los cambios repentinos de temperatura pueden dañar y debilitar el esmalte.
6. Fortalece los dientes debilitados: Si tiene empastes grandes o antecedentes de fracturas dentales, su dentista puede recomendarle una corona dental para brindar protección adicional.
7. Lleva una dieta saludable para tus dientes: Una dieta rica en calcio y vitamina D ayuda a mantener tus dientes fuertes. Beber mucha agua y evitar el exceso de azúcar también reduce el riesgo de caries que debilitan los dientes.
¿Qué hago si me fracturo un diente?
Si te has fracturado un diente, es esencial que actúes lo más rápido posible para aumentar las posibilidades de recuperar la pieza dental.
1. Mantén la calma: Lo primero que debes hacer si has sufrido un traumatismo dental es mantener la calma, incluso si sientes dolor o estas sangrando.
2. Localizar el fragmento del diente (si es posible) Luego de que estes en calma, necesitaras localizar el fragmento del diente y al mismo tiempo si estas sangrando, controlar el sangrado con una gasa, toalla o un pedazo de tela. Conserva el fragmento del diente en leche, solución salina o saliva. No uses jabón para limpiarlo ni lo seques.
3. Aplicar hielo: Realizar con cuidado enjuagues con agua tibia y después colocar hielo en el área afectada. Aplicar compresas frías en la zona lesionada ayuda a reducir el dolor y la hinchazón.
4. Ir al dentista: Concluido todo lo anterior debes ir al dentista para qué examine la fractura y las alternativas de tratamiento para asistirte en la recuperación del diente.
En conclusión, las fracturas dentales son daños frecuentes que pueden influir en la salud dental y en la apariencia de la sonrisa. Estas se pueden evitar a través de buenas costumbres, como no morder cosas duras, usar protección para los dientes en deportes y visitar al dentista de manera regular. En caso de una fractura, es fundamental actuar con prontitud y solicitar ayuda profesional para mantener la funcionalidad y el aspecto del diente. Puesto que, un tratamiento rápido es crucial para proteger la raíz, restablecer la función, la apariencia dental y evitar infecciones o complicaciones mayores.
Referencias bibliográficas
1.https://www-ncbi-nlm-nih-gov.translate.goog/books/NBK551650/?_x_tr_sl=en&_x_tr_tl=es&_x_tr_hl=es&_x_tr_pto=tc
3. https://www.cigna.com/es-us/knowledge-center/cracked-tooth
5.http://enfermedadesdentales.rua.unam.mx/enfermedades/FracturaDental.html
6.
Andreasen, J. O., & Andreasen, F. M. (2018). Libro de texto y atlas en color de lesiones traumáticas en los dientes (5.ª ed.). Wiley-Blackwell.
Kenny, D. J., & Barrett, E. J. (2003). Traumatismos dentales en niños: Actualización sobre la terapia pulpar en dientes primarios y permanentes jóvenes. Dental Clinics of North America, 47(3), 745–772. https://doi.org/10.1016/S0011-8532(03)00044-9
Patel, S., Kanagasingam, S., & Pitt Ford, T. (2011). Reabsorción cervical externa: Parte 1 – Ciencia básica. Revista Internacional de Endodoncia, 44(1), 16–30. https://doi.org/10.1111/j.1365-2591.2010.01794.x
Asociación Americana de Endodoncistas (AAE). (s.f.). Guías clínicas para lesiones dentales traumáticas. Recuperado de https://www.aae.org/specialty/clinical-resources/trauma-resources/
Añadir comentario
Comentarios